按摩视频

您好,欢迎进入西安中心医院官方网站!

手机版二维码
按摩视频中心

按摩视频中心

 » 内容
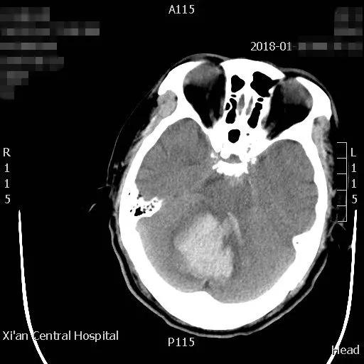
我院神经外科成功完成一例内镜辅助下后颅凹血肿清除术
发布人:guifeng  发布日期:2018-02-05

       近日,一位六十岁的男性,在家中突发头痛、呕吐、左侧肢体瘫软无力摔倒在地,被家人急送按摩视频 急诊科,急诊接诊后发现患者处于昏迷状态,遂急查颅脑CT并请神经外科会诊。CT结果显示患者小脑出血40毫升,即刻收住神经外科住院。

       患者病情危重,出血点位于后颅窝靠近天幕,位置狭小、深在、靠近脑干、直视困难,应用普通手术操作困难,容易损伤脑干,血肿也不容易彻底清除。主管主任医师王占尧对该患者进行了详细的查体后,与治疗小组商议手术方案。为进一步减少小脑皮层损伤、降低颅脑创伤,王占尧主任医师决定对该患者使用内镜辅助清除血肿。

       诊疗小组在王占尧主任医师的带领下,制定了详尽的手术方案。由王占尧主任医师主刀、贺中正医师辅助为患者实施了神经内镜下血肿清除术,患者术后恢复良好。